Skip to content Skip to sidebar Skip to footer

Widget HTML #1

How Long After A White Filling Can You Eat - In or office we use lasers for fillings so the patients don't need shots and they can eat right away.

How Long After A White Filling Can You Eat - In or office we use lasers for fillings so the patients don't need shots and they can eat right away.. How soon can you eat after getting a cavity filled? Jetzt eine riesige auswahl an gebrauchtmaschinen von zertifizierten händlern entdecken Unlike amalgam fillings, composite dental fillings allow patients to eat right after getting the procedure. White fillings are entirely safe, and we ensure that you are comfortable while you are. Filling beim führenden marktplatz für gebrauchtmaschinen kaufen.

You'll have to wait longer with an amalgam filling (silver) than with a composite filling. One of the measurements to consider is choosing the right foods to eat after the treatment. Dental cleaning can cause your teeth and gums to be sensitive. That's right, you can eat right after a dental cleaning. Maybe you use different type of amalgam in the usa.

Dental Bridge Types Advantages Disadvantages
Dental Bridge Types Advantages Disadvantages from www.verywellhealth.com
The first thing you want to do is as soon as you use a dental office you want to make sure you're still fighting on the gauze that your dentist gave you. For instance, white dental filling that is made up of composite fillings hardens immediately when cured with blue light. Sarasota dentistry has compiled a list of foods to eat following dental surgery, dental implants or wisdom teeth extractions. Check your insurance plan to see what coverage you have for white filling procedures. You'll have to wait longer with an amalgam filling (silver) than with a composite filling. White fillings are entirely safe, and we ensure that you are comfortable while you are. Unless instructed otherwise by your dentist, you should refrain from wearing your dental flipper for the first 24 hours after surgery. Filling beim führenden marktplatz für gebrauchtmaschinen kaufen.

For amalgam( metal) fillings the material is not fully set for ~30minutes after placement hence it is adviced not to drink/ eat or bite to hard for this amount of time that would include coffee i.

However, we do recommend that patients only resume eating after the local anesthetic wears off. Whereas, metal fillings do not harden instantly, so you may have to wait for about 24 hours after the dental filling procedure before. Numbing usually take 1 to 3 hours to go away. Very hot or cold foods and beverages can disrupt the bond of fillings. Also, you may wanna know how long after tooth extraction can i eat solid food and get back to your routine diet. White fillings also take longer than silver fillings, only because dentists have to keep teeth completely dry for the filling to adhere. Composite (white) fillings are hardened with a light and you can eat as soon as the anesthetic wears off. For amalgam( metal) fillings the material is not fully set for ~30minutes after placement hence it is adviced not to drink/ eat or bite to hard for this amount of time that would include coffee i. It can be quite difficult to eat when your lips and mouth are numb! White fillings are made of composite, which is a white paste of resin that hardens instantly when exposed to blue light. You'll have to wait longer with an amalgam filling (silver) than with a composite filling. The first thing you want to do is as soon as you use a dental office you want to make sure you're still fighting on the gauze that your dentist gave you. Depending on the nature of the filling material, you may be able to eat and drink immediately after the procedure, or you may want to wait several hours.

For amalgam( metal) fillings the material is not fully set for ~30minutes after placement hence it is adviced not to drink/ eat or bite to hard for this amount of time that would include coffee i. However, we do recommend that patients only resume eating after the local anesthetic wears off. Unless instructed otherwise by your dentist, you should refrain from wearing your dental flipper for the first 24 hours after surgery. This can last for a few days. 5.5k views answered >2 years ago

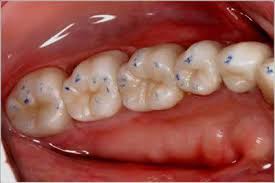
Tooth Filling Aftercare Addc Alexander Drive Dental Clinic
Tooth Filling Aftercare Addc Alexander Drive Dental Clinic from addcdental.com.au
Silver fillings, also known as amalagam fillings, take up to 24 hours to harden, so eating solid foods should. With composites (white fillings), you can eat right away but i tell patients to wait until the anesthesia wears off because that reduces the likelihood of you biting your cheek/lip. What do i eat after dental surgery?, is a common question asked by many patients. Very hot or cold foods and beverages can disrupt the bond of fillings. Composite fillings are generally bonded to the tooth. Whereas, metal fillings do not harden instantly, so you may have to wait for about 24 hours after the dental filling procedure before. You'll have to wait longer with an amalgam filling (silver) than with a composite filling. Wait 24 hours to eat on the amalgam fillings.

This can last for a few days.

If you've had fillings done on both sides, wait until the anesthetic wears off before attempting to eat. Dentists recommend waiting one hour after the procedure to eat anything, and to wait 24 hours before eating solid foods. In or office we use lasers for fillings so the patients don't need shots and they can eat right away. The first thing you want to do is as soon as you use a dental office you want to make sure you're still fighting on the gauze that your dentist gave you. But generally, it's recommended to wait until your anesthesia has worn off, so you don't bite your tongue. In fact, you don't have to wait at all! Dental surgery can be a daunting task but the recovery can be even more stressful if you don't know what to eat. In some cases, your dentist might tell you to avoid chewing using the side of your mouth for 24 hours after you have a silver filling. White fillings are entirely safe, and we ensure that you are comfortable while you are. In some cases, a longer procedure equals a higher cost. With composites (white fillings), you can eat right away but i tell patients to wait until the anesthesia wears off because that reduces the likelihood of you biting your cheek/lip. A flipper is designed primarily for aesthetics, but most patients learn to eat with their flippers in place. This can last for a few days.

Silver may require you to avoid hard foods and no direct chewing for up to 24 hours. # 4 what to expect after a filling ? White fillings also take longer than silver fillings, only because dentists have to keep teeth completely dry for the filling to adhere. What do i eat after dental surgery?, is a common question asked by many patients. If you're wondering if you can eat after a filling, it's best to wait until after your local anesthetic wears off to ensure you don't chew on your tongue or your cheek without realizing it.

How Long After Filling Can I Eat And Why
How Long After Filling Can I Eat And Why from exactlyhowlong.com
White fillings also take longer than silver fillings, only because dentists have to keep teeth completely dry for the filling to adhere. This can last for a few days. If you are experiencing tooth sensitivity, you may benefit from avoiding hot and cold drinks and foods. One of the measurements to consider is choosing the right foods to eat after the treatment. It is advised to avoid hard or chewy food for 24 hours after having a silver filling placed. Also, you may wanna know how long after tooth extraction can i eat solid food and get back to your routine diet. Filling beim führenden marktplatz für gebrauchtmaschinen kaufen. As a result, you should be able to eat and drink instantly after the filling procedure.

Be sure to keep an out our on our offers for any other deals that can help you keep your smile bright.

In some cases, your dentist might tell you to avoid chewing using the side of your mouth for 24 hours after you have a silver filling. Dental cleaning can cause your teeth and gums to be sensitive. Metal dental fillings do not harden immediately and often dentists will recommend waiting at least 24 hours following the dental filling before eating any solid foods. This occurs when a filling placed on the biting surface of your tooth is uneven with the opposing tooth. Whereas, metal fillings do not harden instantly, so you may have to wait for about 24 hours after the dental filling procedure before. As a result, you should be able to eat and drink instantly after the filling procedure. For instance, white dental filling that is made up of composite fillings hardens immediately when cured with blue light. For amalgam( metal) fillings the material is not fully set for ~30minutes after placement hence it is adviced not to drink/ eat or bite to hard for this amount of time that would include coffee i. Maybe you use different type of amalgam in the usa. What do i eat after dental surgery?, is a common question asked by many patients. Fillings restore the form and function of damaged teeth. In or office we use lasers for fillings so the patients don't need shots and they can eat right away. Very hot or cold foods and beverages can disrupt the bond of fillings.

You'll have to wait longer with an amalgam filling (silver) than with a composite filling how long after a filling can you eat. Fillings restore the form and function of damaged teeth.